Dopo aver concluso un trattamento ortodontico si consiglia sempre un retainer per i denti, che può essere in plastica o realizzato con un filo metallico.
Tempo di lettura: 4min
·
Argomento: POSIZIONE DENTALE
Un retainer è un dispositivo speciale sviluppato per stabilizzare la posizione dei denti dopo un trattamento ortodontico. Dopo che i denti sono stati allineati nella posizione desiderata con un apparecchio o un allineatore, i retainer svolgono un ruolo fondamentale nell’assicurare che non tornino nella loro posizione iniziale. I retainer sono quindi di fondamentale importanza per preservare a lungo termine i risultati della correzione dentale.
Esistono diversi tipi di retainer e, a seconda delle esigenze e delle raccomandazioni dell’ortodontista, possono essere realizzati in forme diverse. L’obiettivo è sempre consolidare la nuova posizione dei denti. In questo modo si contribuisce in misura determinante a una salute duratura e all’estetica del sorriso.
Se i denti vengono allineati tramite un apparecchio fisso o un apparecchio trasparente (allineatori), l'allineamento raggiunto deve essere fissato di modo che duri nel tempo. Dopo un determinato periodo, i denti possono tornare nella loro vecchia posizione indesiderata. Questo fenomeno viene chiamato recidiva ortodontica.
“Recidivo” deriva dal latino "recidere" che significa ricadere. In questo caso indica il ripresentarsi di una malattia. In alcuni casi, la recidiva può verificarsi anche al seguito di un trattamento ortodontico. Il retainer ha lo scopo di fissare la posizione dei denti in modo permanente e di prevenire le recidive.
Se ciò accade, il complesso trattamento di correzione dentale sarà stato pressoché inutile. Grazie al retainer, le radici dei denti e l’osso mascellare possono abituarsi più facilmente alla loro nuova posizione. Per evitare una recidiva e per assicurare la conservazione dei risultati a lungo termine, vengono utilizzati due tipi di dispositivi ortodontici:
I clienti bestsmile, insieme al loro set di Allineatori dentali ricevono anche un apparecchio di contenzione (che corrisponde all'ultimo Aligner). Si tratta di una mascherina dentale in plastica quasi identica all’Aligner. Tuttavia, questa mascherina è un po’ più spessa e più resistente di un Aligner e ha lo scopo di mantenere stabile l’allineamento dentale raggiunto dopo il trattamento ortodontico. Questo apparecchio di ritenzione deve essere indossato solo di notte. Per i primi 6 mesi dopo il trattamento, consigliamo di indossarlo ogni notte, dopodiché è sufficiente indossarlo 3 notti a settimana. In alternativa puoi optare per un retainer anti bruxismo (bite anti bruxismo), che oltre a tenere i denti nella posizione corretta li protegge anche dal digrignamento notturno. Questo dispositivo è anche un'opzione molto valida per proteggere dal digrignamento le faccette dentali.
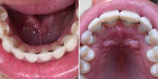
Il filo retainer non è incluso nel trattamento standard con l'apparecchio trasparente. Il filo di ritenzione viene realizzato su misura e su richiesta del paziente e deve essere applicato da un dentista bestsmile in uno dei nostri studi. Questo metodo di contenzione consiste di un filo di titanio compatibile con il corpo e fresato con precisione e può rimanere nella bocca del paziente per molti anni. Il filo retainer viene incollato alla parte posteriore dei denti anteriori con una tecnica di adesione. Il filo non è rimovibile, ma poiché si trova dietro i denti è completamente invisibile.
Da bestsmile, il retainer fisso costa CHF 500.– per arcata.
Entrambe le varianti per stabilizzare la posizione dei denti hanno i loro pro e contro.
Il retainer in plastica va indossato solo di notte e si può togliere e rimettere da soli. Il filo di ritenzione è saldamente attaccato ai denti e non può essere rimosso dal paziente. Questo ha però il vantaggio che non è possibile dimenticarlo e garantisce la conservazione della posizione dentale in qualsiasi momento.
In termini di comfort, non ci sono grandi differenze tra i due tipi di dispositivi. Il filo potrebbe richiedere un po’ di tempo per abituarsi all’inizio. Tuttavia, la lingua si abitua in fretta e presto non si percepisce più il filo.
Nessuno dei due dispositivi di contenzione interferisce quando si mangia o si beve. La mascherina di contenzione si indossa di notte e va rimossa per mangiare, mentre il filo è applicato dietro ai denti e non disturba durante i pasti. Tuttavia, è necessario prestare attenzione a una buona e regolare igiene orale in modo che non si formi la placca intorno al filo. Il filo retainer si può pulire comodamente con spazzole interdentali disponibili in commercio.
Ora tocca a te valutare quale retainer è più indicato per te. Noi consigliamo il filo retainer, poiché è sempre saldamente attaccato ai denti, non puoi dimenticarti di inserirlo e non interferisce con altre attività.
:quality(75))
:quality(75)/f/80634/403x413/816869959e/footer-403x413.png)