After completing an orthodontic treatment, it is recommended to use a retention device, which can either be made of plastic or of a metal wire.
Reading time: 3min
·
Topic: TOOTH POSITION
A retainer is a special device designed to stabilise the position of teeth after orthodontic treatment. After the teeth have been brought into the desired position by braces or aligners, retainers play a critical role in ensuring that they do not move back to their original position. Retainers are therefore crucial in preserving the long-term success of orthodontic treatment.
There are different types of retainers and they can be made in different shapes according to the customer’s requirements and the orthodontist’s recommendations. The aim is always to secure the new position of the teeth. This makes a fundamental contribution to the lasting health and aesthetics of the smile.
If teeth are straightened by means of braces or aligners, the achieved result must be stabilised and maintained in the long term to prevent the teeth from moving back into their old, unwanted position. This phenomenon is called relapse.
Relapse, recurrence or recidivism is the return of a disease. In some cases, relapse can also occur after orthodontic treatment.
The use of retainers is intended to permanently fix the tooth position and prevent relapse.
If this happens, the costly and time-consuming teeth straightening will have been in vain. Thanks to the retainer, tooth roots and jaw bones can get used to their new positions better. To prevent the teeth from shifting again and to ensure that the new tooth position is maintained, there are two types of medical aids:
With their aligner set, bestsmile customers also receive a retainer aligner. This is a plastic aligner that is almost identical to a regular aligner, but it is a little thicker and stronger. The purpose of this retainer is to keep the teeth in the achieved position after the aligner treatment. This device should be worn exclusively at night. For the first 6 months after treatment, it is recommended to wear it every night. After that, 3 nights a week are sufficient.
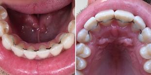
The wire retainer is not included in the standard aligner set. It is custom-made on request and must be attached by a bestsmile dentist in a bestsmile practice. These teeth retainers are made of a body-compatible titanium wire that is precision-milled and can remain in the mouth for many years. The wire is bonded to the back of the front teeth using an adhesive bonding technique. It is not removable, but completely invisible as it is behind the teeth.
At bestsmile, the fixed retainer costs CHF 500 per jaw.
Both devices for holding your teeth in place have their pros and cons.
The plastic retainer has to be worn only at night and can be removed and inserted by the patient. The wire retainer on the other hand is firmly attached to your teeth and cannot be removed by the patient. However, this also means that you cannot forget it and your teeth will remain in a stable position at all times.
In terms of comfort, there are no major differences between the two devices. The wire may take some getting used to at the beginning, but your tongue will quickly get used to it and after a while you will no longer feel it.
Neither of the two retention devices interferes with eating and drinking. The night retainer has to be removed for eating, whereas the wire is attached behind your teeth and doesn’t interfere when eating. You should, however, maintain good and regular oral hygiene to prevent plaque from forming around the wire.
:quality(75))
:quality(75)/f/80634/403x413/816869959e/footer-403x413.png)