Nach dem Abschluss einer kieferorthopädischen Behandlung wird immer ein Retentionsgerät empfohlen: Das kann aus Kunststoff oder Metalldraht bestehen.
Lesezeit: 3min
·
Thema: Zahnstellung
Medizinische bestsmile Redaktion
Autor
Ein Retainer ist eine spezielle Vorrichtung, die entwickelt wurde, um die Position der Zähne nach einer kieferorthopädischen Behandlung zu stabilisieren. Nachdem die Zähne durch Zahnspangen oder Aligner in die gewünschte Position gebracht worden sind, spielen Retainer eine entscheidende Rolle dabei, sicherzustellen, dass sie sich nicht wieder in ihre ursprüngliche Position zurückbewegen. Retainer sind also von zentraler Bedeutung, um die langfristigen Erfolge einer Zahnkorrektur zu bewahren.
Es gibt verschiedene Arten von Retainer und sie können je nach Bedarf und Empfehlung des Kieferorthopäden in verschiedenen Formen angefertigt werden. Ziel ist immer, die neue Zahnstellung zu festigen. Dadurch wird ein fundamentaler Beitrag zur dauerhaften Gesundheit und Ästhetik des Lächelns geleistet.
Werden Zähne mittels Zahnspangen oder Alignern bewegt, muss das Ergebnis stabilisiert und erhalten werden. Den die Zähne können nach gewisser Zeit wieder in ihre alte, unerwünschte Position zurückwandern. Man spricht hier vom Rezidiv.
Rezidiv leitet sich vom lateinischen "recidere" ab, was für Zurückfallen steht. Rezidiv ist das Zurückkehren einer Krankheit. In bestimmten Fällen kann auch nach kieferorthopädischen Behandlungen ein Rezidiv auftreten. Der Einsatz von Retainern soll Zahnkorrekturen dauerhaft festigen und das Rezidiv vermeiden.
Passiert dies, ist die aufwändige Zahnkorrektur umsonst gewesen. Dank des Retainers können sich Zahnwurzeln und Kieferknochen besser an ihre neue Position gewöhnen. Um eine erneute Verschiebung der Zähne zu verhindern und sicherzustellen, dass die neue Zahnstellung erhalten bleibt, gibt es zwei Arten von medizinischen Hilfsmitteln:
bestsmile Kunden erhalten mit ihrem Aligner-Set auch eine Retainer-Schiene. Dies ist eine Kunststoffschiene, die der durchsichtigen Zahnspange nahezu gleich ist. Diese Zahnschiene ist jedoch ein wenig dicker und stärker als der Aligner. Ziel dieses Retainers ist es, die Zähne in der Position zu halten, wo die Alignerbehandlung aufgehört hat. Die Patienten müssen den Retainer lediglich nachts tragen. Es wird anfangs das regelmässige nächtliche Tragen für etwa 6 Monate und danach eine Tragehäufigkeit von ca. 3 Nächten pro Woche empfohlen.
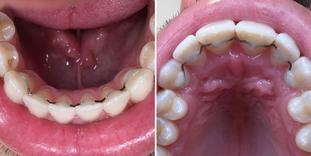
Der Draht Retainer gehört nicht standardmässig zum Aligner-Set. Er wird auf Wunsch individuell angefertigt und muss durch einen bestsmile Zahnarzt oder eine bestsmile Zahnärztin in einer bestsmile Praxis eingesetzt werden. Dieser Zahnstabilisator besteht aus einem körperverträglichen Titandraht, der präzisionsgefräst ist und viele Jahre im Mund verbleiben kann. Mittels adhäsiver Klebetechnik wird der Retainer auf die Rückseite der Vorderzähne geklebt. Er ist nicht herausnehmbar, jedoch völlig unsichtbar, da er sich hinter den Zähnen befindet.
Die Kosten für den Retainer liegen bei CHF 500.– pro Kiefer.
Beide Varianten der Stabilisation der Zähne haben ihre Vor- und Nachteile.
Den Kunststoffretainer trägst du nur nachts und kannst ihn selbst herausnehmen sowie wieder einsetzen. Der Drahtretainer ist fest mit deinen Zähnen verbunden und kann nicht selbst entfernt werden. Somit kannst du ihn jedoch auch nicht vergessen und die Erhaltung deiner schönen Zahnstellung ist jederzeit sichergestellt.
In Sachen Komfort gibt es keine grossen Unterschiede zwischen den beiden Retainerarten. Der Draht ist möglicherweise zu Beginn gewöhnungsbedürftig. Deine Zunge gewöhnt sich allerdings schnell daran und du spürst den Retainerdraht bald nicht mehr.
Beim Essen und Trinken stört ebenfalls keines der beiden Retentionsgeräte. Die Nachtschiene trägst du beim Essen nicht und der Draht ist hinter den Zähnen angebracht und somit ebenfalls kein Störfaktor bei deinen Mahlzeiten. Du solltest jedoch auf eine gute und regelmässige Mundhygiene achten, damit sich um den Retainer keine Beläge bilden.
Nun hast du die Wahl, welcher Retainer besser zu dir passt. Wir empfehlen dir den Drahtretainer, weil dieser immer fest an deinen Zähnen sitzt, du ihn nie vergessen kannst einzusetzen und er dich auch sonst bei keinen Aktivitäten beeinträchtigt.
:quality(75))
:quality(75)/f/80634/403x413/816869959e/footer-403x413.png)