There are various methods and treatments to get beautiful teeth. In this article we reveal to you what treatments and options are available in cosmetic dentistry to get beautiful teeth and a flawless smile.
Reading time: 6min
·
Topic: Beautiful teeth
:quality(75)/f/80634/2000x1000/308b040d81/beautiful-smile-header-2000x1000.jpg)
Beautiful teeth are subjective. Nevertheless, many people associate a beautiful smile with white, straight and even teeth. Today’s beauty standards are inspired by Hollywood stars and the so-called Hollywood smile is becoming increasingly popular.
Did you know that there is a scientific definition of beautiful teeth? The so-called golden proportion is calculated from the width and length of the teeth in relation to the gums and lips. Depending on the results of this calculation, the aesthetics of the teeth should be particularly harmonious or not. However, this calculation is relative because everyone perceives beautiful teeth and a beautiful smile differently.
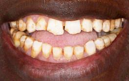
Not all people are born with naturally straight or beautiful teeth. But fortunately this is not a problem anymore, since there are various methods to get beautiful teeth and a pretty smile.
Beautiful teeth are closely linked to good dental and oral hygiene. But also malocclusions or other smaller dental defects can be corrected with state-of-the-art methods and in a short period of time. These methods include:
Aligners are plastic braces that can gradually move the teeth into the desired position in a short time. Compared to other types of dental braces, they are completely transparent. The custom-fit aligners are manufactured by taking a 3D scan of the jaw and teeth. If you would like to learn more about other types of dental splints, you can find more information in our dedicated article.
Aligners
Cleat braces
Aligners exert a gentle pressure on the teeth, bringing them into the desired position. Every 2 weeks the patient switches to new aligners, which shift the teeth into the final position step by step.
Clear aligners can correct mild to moderate malocclusions, making aligners one of the easiest and most affordable devices to get beautiful teeth as an adult.
Aligners can correct the following dental malocclusions:
Find out if you’re a candidate for the Aligner treatment and see for yourself these incredible reviews of clear Aligners! Our specialised dentists will be happy to advise you at one of our 36 locations in Switzerland.
bestsmile Aligners start at CHF 3,490 for one jaw. On our Aligner pricing page you will find all information regarding the price of an Aligner treatment.
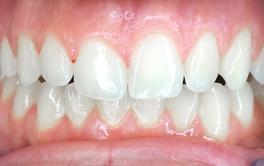
Veneers are wafer-thin ceramic shells, which are attached to the desired teeth to cover up discolourations, gaps or uneven teeth. Veneers are durable, have a natural look and do not discolour.
Veneers
wafer-thin ceramic shells
Our bestsmile Veneers are suitable for patients over the age of 18.
Veneers can correct aesthetic flaws, particularly on the anterior teeth, such as:
bestsmile Veneers start at CHF 4,800. On our Veneers pricing page you will find all information regarding the price of a Veneer treatment.
Teeth whitening, also known as bleaching, is an easy option to brighten up your teeth by a few shades and gives you a beautiful smile almost instantly. If you opt for the bestsmile Aligner treatment of both jaws, you will get a Home Bleaching Kit free of charge.
As a general rule, teeth whitening has to be repeated on a regular basis, as our natural teeth can discolour over time. This has nothing to do with good oral hygiene. It is a natural ageing process. Veneers are an efficient solution to get beautiful white teeth in the long term.
Conventional whitening toothpastes that you find in stores usually do not guarantee long-lasting results. You should also be careful with some whitening toothpastes: small particles can erode tooth substance and leave tiny cracks in the tooth surface. These cracks can accumulate discolouration, which is difficult to neutralise.
However, there are also other types of whitening methods that provide slightly more lasting results. Teeth can be whitened both professionally in a dental practice or at home. With in-office whitening in dental practices, the concentration of the whitening gel is usually higher, which leads to stronger and longer-lasting results. However, you should be careful with every whitening: teeth can become temporarily sensitive.
Even after finishing your dental correction, you might still not be completely happy with your smile. This may be the case if the shape of the gums is uneven or if too much gum is displayed (gummy smile).
The solution? A gum correction. This gives your new smile the finishing touch and permanently removes flaws on the gums.
At bestsmile, a gum correction for 1 tooth starts at CHF 200 and is possible only in combination with an Aligner or Veneer treatment.
Once you’re happy with your new and beautiful smile, the goal is to keep it as long as possible. An impeccable oral hygiene at home and a professional tooth cleaning at the dentist’s office are therefore essential.
After straightening your teeth with Aligners, we suggest applying a wire retainer. The wire is attached to the inner surface of the teeth, is not visible, does not interfere and holds the teeth in the new position.
A grinding guard can also be a great solution to keep your teeth beautiful as long as possible and at the same time alleviate the effects of bruxism.
A grinding guard protects your teeth from wear and tear and keeps your smile beautiful after an Aligner or a Veneer treatment. In short, a grinding guard:
As you see, there are many ways to get beautiful teeth. To see which option is best for you, come visit us in one of our 36 practices and get advice from our experienced dentists. Together we will find the best solution to give you the smile you’ve always wanted.
:quality(75))
:quality(75))
:quality(75))
:quality(75))
:quality(75))
:quality(75)/f/80634/403x413/816869959e/footer-403x413.png)