Fix discoloured teeth now with bestsmile Veneers. swiss made, from CHF 80/month.
Free appointmentFix discoloured teeth now with bestsmile Veneers. swiss made, from CHF 80/month.
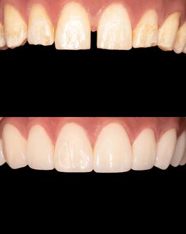
Free appointmentCertain types of food are often responsible for tooth discolouration. Beverages such as coffee, tea, red wine, certain soft drinks and coloured spices (e.g., curry, turmeric) can leave spots and stains on teeth.
Substances like nicotine and tar form a film on the teeth, causing them to turn yellow.
Untreated dental injuries can cause teeth to die. If the nerve is damaged, the tooth no longer receives the necessary nutrients, leading it to slowly die and become dark.
The natural colour of one's teeth is genetic and can vary from person to person. Depending on the combination of enamel and dentine, the natural colour can range from ivory to grey to reddish.
Over the course of one's life, white-coloured tooth enamel gets worn down. Naturally yellow dentine shines through and becomes more visible.
Discolouration is often the result of build-up from poor oral hygiene. Furthermore, brushing one's teeth right after having an acidic meal can damage white enamel, allowing the yellow dentine layer underneath to shine through.
Taking certain medications can leave stains on the teeth and cause discolouration.
Discoloured teeth are often a cosmetic issue and can significantly impair one's self-esteem. White teeth, on the other hand, represent beauty and success and create a likeable, groomed appearance.
In many cases, Veneers can correct discoloured teeth. How it works:
Happy customers
:quality(75))
Will insurance cover the cost of correcting discoloured teeth?
Health insurance usually doesn’t pay the cost of aesthetic dental corrections. Depending on your insurer and policy, however, these costs may be covered. The best thing to do is to contact your health insurance company directly to find out if they cover the costs of fixing stained or discoloured teeth.
Is it possible to re-whiten teeth that have become discoloured?
There are different methods of removing stains from teeth.
Veneers are a long-term solution for fixing discoloured teeth. They are made of high-quality ceramic that doesn't stain. Your new smile stays radiant and white for a long time. For cases of severe discolouration, Veneers are often the only way to achieve white teeth.
Dental whitening is another simple and popular method of getting rid of discoloured teeth. Depending on the person, however, the results may not be entirely satisfactory. Usually the teeth have to be bleached regularly because slight discolouration is normal and can always recur.
Discoloured teeth can be prevented by practising good oral hygiene. You should be careful with whitening toothpastes, however. Many of these toothpastes contain tiny amounts of small particles: they are intended to remove build-up but also slightly attack enamel in the process.
How can I prevent my teeth from becoming discoloured?
Natural internal discolouration or natural changes in colour cannot be prevented.
Good habits can go a long way in preventing discolouration that results from external causes, however:
Learn more tips for good dental and oral hygiene
What colour are teeth supposed to be?
The natural colour of teeth varies from person to person, ranging from ivory to yellow and grey tones. The colour of your teeth also changes with age. There is no one universal tooth colour that applies to everyone.
Can fillings become discoloured?
Fillings can become discoloured with time, and they cannot be re-brightened. Bleaching only works on the natural teeth. Veneers are a good alternative to conventional fillings: they restore the function and aesthetics of the tooth and create long-lasting whiteness.
If you have fillings and are interested in bestsmile Veneers, our dentists will be happy to advise you.
Dental expertise
Our specialist medical staff will be with you and advise you free of charge during every step of the way over the course of your treatment.
swiss made
All bestsmile products are custom-made in our own production facility in Switzerland.
Personalised treatment plan
Your treatment will be customised exactly to your needs.
Book your free 3D scan and consultation appointment now
Free appointmentVor der Behandlung
CHF150.00
Wir benötigen vor Beginn deiner Behandlung ein Panoramaröntgenbild. Wenn du noch keines hast, erstellen wir gerne eines für dich.
CHF400.00
Je nach Zahnkorrektur kann es sein, dass du Attachments brauchst: Kleine Kunststoff-Elemente, die die Zahnbewegung mit Aligner unterstützen.
Nach der Behandlung
Free
Die Retainer Schiene fixiert deine Zahnstellung nach deiner Behandlung und wird über Nacht getragen.
empfohlen
CHF500.00
Der Draht Retainer fixiert deine Zahnstellung nach deiner Behandlung langfristig – und du erhältst damit 10 Jahre Garantie.
CHF500.00
Die Knirschschiene schützt deine Zähne und entlastet deine Kiefermuskulatur im Schlaf.
Das finale Upgrade
Free
Bei einer Behandlung beider Kiefer erhältst du ein Home Bleaching Kit kostenlos dazu.
CHF200.00
Zur Verschönerung des Zahnfleisches und Korrektur des Lippenbandes. Der letzte Feinschliff für dein neues Lächeln.
CHF3000.00
Zur Korrektur von fehlenden Zähnen. Für ein rundum harmonisches Zahnbild.
from CHF300.00
Beseitige auch kleinste verbleibende Makel nach deiner Behandlung mit dem bestsmile Finishing.
Close
:quality(75)/f/80634/1508x750/4b51996ccf/discoloration-left.jpg)
:quality(75)/f/80634/4096x1429/8f5af0c227/use-case-single-gallery-secondary-veneers.png)
:quality(75)/f/80634/522x660/53601117ec/522x660-1.png)
:quality(75))
:quality(75)/f/80634/2916x1944/6d7d2e878b/natalia-972x648.png)