Everyone has it on the red carpet: the perfect white smile. All thanks to wafer-thin dental veneers. If you follow these simple tips, you will smile like a celebrity in no time!
Reading time: 6min
·
Topic: Veneers
:quality(75)/f/80634/6480x2796/d0e374c425/steven-hero.png)
Cristiano Ronaldo, Tom Cruise and Miley Cyrus have it: a harmonious, white smile with two perfectly symmetrical and straight dental arches. A uniform smile and bright white teeth are exactly what the famous Hollywood smile and the celebrity look are all about.
As early as 1930s Hollywood, thin plastic shells were glued to the stars’ teeth on the day of filming. The goal? A perfect, radiant smile for the camera.
The definition of Hollywood Smile varies. For some, it means above all to have a radiant white smile, while for others it means having a perfect smile with veneers. Today, the term Hollywood Smile is increasingly known for a very specific tooth shape where all teeth have the same length. This applies particularly to the canines, which are often pointed by nature. While creating a Hollywood smile with veneers, this shape is often rounded off to match the adjacent teeth.
Nowadays, you can get your flawless Hollywood smile thanks to state-of-the-art ceramic Veneers. Veneers were invented in 1928 by the Californian dentist Charles Pincus to make actors’ and actresses’ teeth look impeccable for filming. So it is hardly surprising that the origins of veneers lie in Hollywood. Marilyn Monroe or James Dean are said to have been among the first to have veneers applied permanently and not just temporarily for filming. That’s right, Marilyn Monroe and James Dean also (or already) had veneers.
What was made of plastic almost a century ago and only lasted for one day of filming has now become standard for movie stars. Since the 1950s, it became possible to apply veneers permanently. Made from high-quality ceramic, veneers are now virtually indistinguishable from natural teeth and offer a long-term solution to correct aesthetic imperfections and flaws.
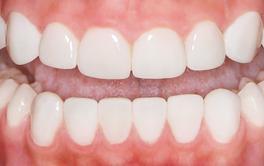
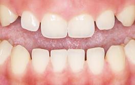
Veneers can fix various dental imperfections such as yellow or discoloured front teeth and give a full smile makeover in a short period of time. Check out the incredible veneers-before-and-after pictures for yourself.
Are you interested in a bestsmile treatment with Aligners or Veneers? Simply book your free appointment online now and let our specialised dentists advise you.
Celebrity smiles like those you see in Hollywood are above all radiant and white. But good oral hygiene, brushing your teeth on a daily basis and regular check-ups definitely do play a key role too. However, not everyone is lucky enough to have naturally white or straight teeth. But nowadays Hollywood smiles are not just for the stars anymore and everyone can get one. And it’s really simple! Below we’ll show you the most effective ways to get such a smile.
When we talk about Hollywood smiles, we must of course mention dental veneers. These wafer-thin ceramic shells are applied onto the teeth, making your smile perfectly harmonious and giving you the popular Hollywood look.
Also in today’s Hollywood Veneers are a quite popular beauty hack. Whether on the big screen, on the football field or on stage – the famous Hollywood smile can be seen almost everywhere and the trend doesn’t seem to be slowing down. The following celebrities are particularly well-known for their Hollywood smile:
Dental veneers can fix a variety of aesthetic imperfections:
Want to learn more about our bestsmile Veneers?
If veneers are not an option, for example in the case of missing teeth due to cavities or inflammation, a dental bridge can also be a good solution. Dental bridges are fixed dental restorations and are firmly anchored in the dentition. They restore aesthetics and function of the periodontium, making the patient's smile more harmonious. For more information, read our article on dental bridges.
Whitening toothpaste, mouthwash with whitening effect or whitening gel – nowadays there are many simple ways to whiten your teeth. From DIY home bleaching kits to professional teeth whitening at the dentist, teeth can be made visibly whiter by a couple of shade levels in no time.
Whitening your teeth is particularly recommended if your teeth are discoloured due to coffee, tea, red wine or other colouring foods. If you opt for the bestsmile Aligner treatment of both jaws, you will get a bestsmile Home Bleaching Kit free of charge.
The cost of your Hollywood smile can vary depending on the provider and the number of veneers required. bestsmile will tell you the costs right from the start and even offers you the option to pay in convenient monthly instalments from CHF 80.
Amount
One Time
Monthly Price
4 Pcs.
CHF 4'800
from CHF 100
6 Pcs.
CHF 7'200
from CHF 140
8 Pcs.
CHF 8'600
from CHF 170
10 Pcs.
CHF 10'000
from CHF 200
12 Pcs.
CHF 11'400
from CHF 230
From 7 pieces only CHF 700 per additional Veneer
For other Veneers, we would be happy to advise you in one of our practices.
Also in Switzerland, the Hollywood trend is growing in popularity like never before. Within the last 2 years, the demand for veneers in Switzerland has doubled. And this increase in demand also means that more people are now willing to travel abroad to get their teeth fixed, but certainly not without its dangers. Abroad, veneers are often made of cheap materials and poor quality. bestsmile customer Doaa had to make this experience with abroad veneers twice. In one of our related topics, we discuss why you’re on the safe side if you choose to get your Hollywood smile in Switzerland and tell you why dental treatments and teeth straightening abroad can be deceptive.
With bestsmile Veneers, getting your movie-star smile is quite easy and affordable – and of course, you’ll get Swiss quality. bestsmile Veneers are custom-made for you in our own production facility in Switzerland. We even grant a 10-year warranty on your Veneers. Should they come loose, we are always there to help you and will replace them free of charge – Hollywood smile guaranteed!
These Veneers reviews show how the lives of numerous customers have changed and how their self-confidence has increased.
:quality(75)/f/80634/2000x1000/4ec007ad7a/veneers-hollywood-smile-pinzette.jpg)
:quality(75)/f/80634/2000x1000/3d7141e5e0/hollywood-smile-vorher-nachher.jpg)
:quality(75)/f/80634/2000x1000/ebb6881c83/bleaching-fuer-weisse-zaehne.jpg)
:quality(75)/f/80634/2000x1000/dc198aca6b/hollywood-smile-switzerland.jpg)
:quality(75)/f/80634/403x413/816869959e/footer-403x413.png)