Corrige les dents de couleurs différentes avec les facettes dentaires bestsmile. Fabriquées en Suisse, dès 80 CHF/mois.
Prendre rendez-vousCorrige les dents de couleurs différentes avec les facettes dentaires bestsmile. Fabriquées en Suisse, dès 80 CHF/mois.
Prendre rendez-vousCertains aliments sont une cause fréquente de coloration des dents. Les boissons comme le café, le thé, le vin rouge, certaines boissons gazeuses et les épices colorantes comme le curry ou le curcuma peuvent laisser des taches ou teinter progressivement les dents.
Des substances telles que la nicotine et le goudron forment un dépôt sur les dents qui entraîne une coloration jaunâtre des dents.
Les accidents dentaires non traités peuvent entraîner la détérioration voire la mort de la dent. Si le nerf dentaire est endommagé, la dent n'est plus nourrie de tous les nutriments essentiels, si bien qu'elle meurt lentement et prend une couleur sombre.
La couleur naturelle des dents est déterminée génétiquement et peut varier. Selon la composition de l'émail et de la dentine, la couleur naturelle des dents peut varier du blanc ivoire à l’oranger, en passant par le grisâtre.
Au cours de la vie, l'émail blanc des dents s'use. La dentine naturellement jaunâtre transparaît alors et est plus visible.
Souvent, les colorations sont des dépôts dus à une hygiène buccale insuffisante. De plus, il se peut que le brossage des dents juste après un repas acide endommage l'émail blanc, ce qui laisse transparaître la dentine sous-jacente.
La prise de certains médicaments peut provoquer des taches sur les dents et une décoloration de celles-ci.
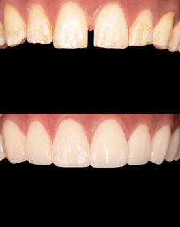
Les dents décolorées sont souvent une préoccupation d'ordre esthétique. La coloration des dents peut avoir un impact considérable sur la confiance en soi. En revanche, des dents blanches renforcent le sentiment de bien-être et donnent à l'autre une impression de sympathie et de dents soignées.
Dans de nombreux cas, les dents décolorées peuvent être corrigées à l'aide de facettes. Voilà comment ça fonctionne:
Des clients satisfaits
:quality(75))
La caisse maladie prend-elle en charge la correction des dents décolorées?
En général, la caisse d'assurance maladie obligatoire ne prend pas en charge les corrections dentaires esthétiques. Toutefois, selon le contrat que tu as signé et la caisse maladie dont tu disposes, il se peut que ces prestations soient incluses. Le mieux est de contacter directement ta caisse pour obtenir plus d'informations sur ton cas.
Comment blanchir des dents décolorées?
Il existe différentes méthodes pour se débarrasser des colorations dentaires.
Les facettes sont une solution durable pour se débarrasser à long terme des colorations dentaires. La céramique de haute qualité ne se décolore pas. Le nouveau sourire reste ainsi d'un blanc éclatant, durablement. En cas de fortes colorations, les facettes dentaires sont souvent la seule solution pour obtenir des dents blanches.
Le blanchiment dentaire est également une méthode simple et populaire pour se débarrasser des dents jaunes ainsi que de taches et autres décolorations dentaires. Toutefois, selon les personnes, il se peut que le blanchiment ne soit pas aussi efficace. En général, les dents doivent être régulièrement blanchies, car de légères décolorations dentaires sont normales et peuvent toujours survenir.
Une bonne hygiène dentaire permet de prévenir ce phénomène. D’ailleurs, il convient d'être prudent avec les dentifrices blanchissants. Beaucoup de ces dentifrices contiennent un minimum de petites particules censées éliminer la plaque, mais celles-ci attaquent aussi quelque peu l'émail des dents.
Comment éviter les décolorations dentaires?
Il est impossible d'éviter les colorations inhérentes à la dent du fait de sa condition naturelle ou de modifications naturelles.
Il est toutefois possible de prévenir les colorations dentaires d'origine externe en adoptant quelques bonnes habitudes:
Quelle est la couleur normale des dents ?
La couleur naturelle des dents peut varier d'une personne à l'autre, allant du blanc ivoire aux nuances de gris, en passant par les dents jaunâtres. De plus, la couleur des dents change avec l'âge. Il n'existe donc pas de couleur de dent universelle considérée comme normale.
Les obturations et autres amalgames dentaires peuvent-ils se décolorer?
Les obturations et les amalgames peuvent se décolorer avec le temps et ne pas pouvoir être éclaircis à nouveau. Le blanchiment ne fonctionne que sur les dents naturelles. Les facettes dentaires sont une bonne alternative aux obturations traditionnelles; elles restaurent l'esthétique et la fonction de la dent et sont la solution idéale pour des dents blanches à long terme.
Si tu as des obturations et que tu es intéressé(e) par des facettes, nos dentistes te conseilleront volontiers sur place.
Suivi dentaire
Notre équipe de médecins-dentistes et assistantes dentaires te conseille et t'accompagne tout au long de ton traitement.
swiss made
Tous les produits bestsmile sont fabriqués pour toi dans notre propre unité de production en Suisse.
Plan de traitement individuel
Ton traitement est précisément adapté à tes besoins.
Réserve maintenant une consultation avec Scan 3D offert
Prendre rendez-vousVor der Behandlung
CHF150.00
Wir benötigen vor Beginn deiner Behandlung ein Panoramaröntgenbild. Wenn du noch keines hast, erstellen wir gerne eines für dich.
CHF400.00
Je nach Zahnkorrektur kann es sein, dass du Attachments brauchst: Kleine Kunststoff-Elemente, die die Zahnbewegung mit Aligner unterstützen.
Nach der Behandlung
Gratuit
Die Retainer Schiene fixiert deine Zahnstellung nach deiner Behandlung und wird über Nacht getragen.
empfohlen
CHF500.00
Der Draht Retainer fixiert deine Zahnstellung nach deiner Behandlung langfristig – und du erhältst damit 10 Jahre Garantie.
CHF500.00
Die Knirschschiene schützt deine Zähne und entlastet deine Kiefermuskulatur im Schlaf.
Das finale Upgrade
Gratuit
Bei einer Behandlung beider Kiefer erhältst du ein Home Bleaching Kit kostenlos dazu.
CHF200.00
Zur Verschönerung des Zahnfleisches und Korrektur des Lippenbandes. Der letzte Feinschliff für dein neues Lächeln.
CHF3000.00
Zur Korrektur von fehlenden Zähnen. Für ein rundum harmonisches Zahnbild.
dès CHF300.00
Beseitige auch kleinste verbleibende Makel nach deiner Behandlung mit dem bestsmile Finishing.
Fermer
et tu en profites! Tu bénéficies d'un rabais spécial de 500 CHF sur ton traitement par aligneurs ou facettes dentaires.
Pour le faire valoir, choisis ton 1er RDV de scan 3D qui est offert, en cliquant sur le lien ci-dessous.
Plus d'informations: CGV
:quality(75)/f/80634/1508x750/4b51996ccf/discoloration-left.jpg)
:quality(75)/f/80634/4096x1429/8f5af0c227/use-case-single-gallery-secondary-veneers.png)
:quality(75)/f/80634/522x660/53601117ec/522x660-1.png)
:quality(75))
:quality(75)/f/80634/2916x1944/6d7d2e878b/natalia-972x648.png)