Korrigiere jetzt schiefe Zähne und Zahnkippungen mit bestsmile Aligner in nur 3–12 Monaten.
Gratis TerminKorrigiere jetzt schiefe Zähne und Zahnkippungen mit bestsmile Aligner in nur 3–12 Monaten.
Gratis TerminSchräge, krumme oder schiefe Zähne können ganz unterschiedlich aussehen. Im alltäglichen Sprachgebrauch werden Zähne, die im Kiefer nicht gleichmässig angeordnet sind, generell als schief bezeichnet. Auch Kippungen, gedrehte und rotiert Zähne oder an einer inkorrekten Stelle herausgewachsene Zähne werden unter “schiefe Zähne” zusammengefasst.
Von Zahnkippung spricht man, wenn Zähne sich innerhalb der Zahnreihen seitlich neigen.
Gibt es zu wenig Platz im Kiefer, rutschen die Zähne zusammen, überlappen und werden schliesslich schief.
Steht nur ein Zahn schief, ist aus medizinischer Sicht oftmals keine Korrektur nötig. Im Vordergrund steht dann die Ästhetik. Je nach Grad der Zahnfehlstellung können aber auch schiefe Zähne verschiedene Folgen haben.
In vielen Fällen können schiefe Zähne mit einer herausnehmbaren Zahnspange korrigiert werden. Und so funktioniert’s:
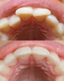
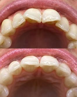
Glückliche Kunden
:quality(75))
Wie werden schiefe Zähne korrigiert?
Schiefe Zähne können nur mit einer Zahnspange korrigiert werden. Zur Korrektur eignet sich eine herkömmliche Zahnspange mit Brackets. Sind vor allem die vorderen Zähne von der Kippung betroffen, ist die durchsichtige Zahnspange eine beliebte Alternative.
Sind die Zähne bereits nach dem Wachstum der bleibenden Zähne schief, wird die Zahnkorrektur oftmals bereits im Kindesalter durchgeführt. Auch bei Erwachsenen können schiefe Zähne korrigiert werden.
Was sind die Gründe für schiefe Zähne?
Unsere Zähne sind eigentlich das ganze Leben lang in Bewegung. So kann es auch sein, dass sich die Zähne erst im Erwachsenenalter verschieben. Gründe für Zahnfehlstellungen bei Kindern und Erwachsenen können ganz unterschiedlich sein.
Bei Erwachsenen sind die Frontzähne im Unterkiefer häufig anfällig für Verschiebungen. Man spricht hier vom Mesialdrift. Das bedeutet, dass die Schneidezähne einen natürlichen Drang haben, sich zur Kiefermitte zu bewegen.
Wie kann man schiefe Zähnen vorbeugen?
Möchte man die Schiefstellung der Zähne verhindern, gibt es einige Tipps. Das beginnt bereits beim Milchgebiss: Werden Milchzähne früh gezogen, sollten Platzhalter eingesetzt werden, bis der Zahnwechsel abgeschlossen ist. Gleiches gilt für Lücken im bleibenden Gebiss. Die Zahnlücke sollte durch einen Zahnarzt versorgt werden, damit benachbarte Zähne sich nicht in die Lücke neigen.
Lockern sich Zähne auf Grund von Parodontitis oder Unfällen, sollten diese mit Schienen fixiert werden. So verhindert man Zahnwanderungen und Zahnkippungen. Um Schäden an Kiefer und Zähnen durch Pressen und Knirschen zu vermeiden, sollte eine Aufbissschiene getragen werden.
Nach erfolgreichem Abschluss einer kieferorthopädischen Behandlung mit einer Spange oder einem Aligner empfiehlt sich ein Draht-Retainer. Der Retainer sorgt dafür, dass die neue Zahnstellung langfristig erhalten bleibt.
Zahlt die Krankenkasse Korrektur von schiefen Zähnen?
Ob die Krankenkasse die Korrektur von schrägen Zähnen übernimmt, hängt von der Ausprägung der Fehlstellung ab. Kontaktiere am besten deine Krankenkasse direkt für mehr Informationen zu deinem Fall.
Sind Veneers bei schiefen Zähnen möglich?
Ob Veneers bei schiefen Zähnen möglich sind, hängt stark von der Zahnfehlstellung ab. Bei einer ausgeprägten Fehlstellung reichen Veneers oft nicht aus. Sie kaschieren die Zahnfehlstellung zwar nach aussen und sorgen für ein ästhetisches Ergebnis, die Zähne bleiben aber in der gleichen Position. In vielen Fällen ist es daher sinnvoll, vor einer Veneers Behandlung eine Aligner Behandlung durchzuführen. So wird sichergestellt, dass die Zähne und deren Stellung ästhetisch und funktionell wiederhergestellt werden. Deine bestsmile Zahnärztin oder Zahnarzt berät dich gerne individuell.
Zahnärztliche Betreuung
Unser fachkundiges Team berät und begleitet dich während deiner gesamten Behandlung – kostenlos.
swiss made
Alle bestsmile Produkte werden in der eigenen Produktion in der Schweiz für dich hergestellt.
Individueller Behandlungsplan
Deine Behandlung wird genau auf deine Bedürfnisse abgestimmt.
Vereinbare jetzt deinen kostenlosen 3D-Scan & Beratungstermin
Gratis Termin:quality(75)/f/80634/4096x3640/1d64166570/20210624_best_smile_day_2_neu1516_final.png)
Vor der Behandlung
CHF150.00
Wir benötigen vor Beginn deiner Behandlung ein Panoramaröntgenbild. Wenn du noch keines hast, erstellen wir gerne eines für dich.
CHF400.00
Je nach Zahnkorrektur kann es sein, dass du Attachments brauchst: Kleine Kunststoff-Elemente, die die Zahnbewegung mit Aligner unterstützen.
Nach der Behandlung
Gratis
Die Retainer Schiene fixiert deine Zahnstellung nach deiner Behandlung und wird über Nacht getragen.
empfohlen
CHF500.00
Der Draht Retainer fixiert deine Zahnstellung nach deiner Behandlung langfristig – und du erhältst damit 10 Jahre Garantie.
CHF500.00
Die Knirschschiene schützt deine Zähne und entlastet deine Kiefermuskulatur im Schlaf.
Das finale Upgrade
Gratis
Bei einer Behandlung beider Kiefer erhältst du ein Home Bleaching Kit kostenlos dazu.
CHF200.00
Zur Verschönerung des Zahnfleisches und Korrektur des Lippenbandes. Der letzte Feinschliff für dein neues Lächeln.
CHF3000.00
Zur Korrektur von fehlenden Zähnen. Für ein rundum harmonisches Zahnbild.
ab CHF300.00
Beseitige auch kleinste verbleibende Makel nach deiner Behandlung mit dem bestsmile Finishing.
Schliessen
:quality(75)/f/80634/1508x750/c838baf0c7/tipped-crooked-left.jpg)
:quality(75)/f/80634/742x742/5b643af9cd/use-case-single-gallery-secondary.png)
:quality(75))