Die Milchzähne sind die ersten Zähne, die bei Kindern durchbrechen. Sie spielen eine entscheidende Rolle beim Kauen, Sprechen und bei der Entwicklung des bleibenden Gebisses.
Lesezeit: 4min
·
Thema: Kinder
Medizinische bestsmile Redaktion
Autor
:quality(75)/f/80634/2000x1000/b6510e9268/milchzaehne-header-2000x1000.png)
Das Milchzahngebiss hat verschiedene Funktionen und einen anderen Aufbau als das bleibende Gebiss.
Aufbau und Funktion der Milchzähne: Milchzähne lassen sich in Schneidezähne, Eckzähne und Backenzähne unterteilen. Jeder Typ hat eine spezifische Funktion beim Zerkleinern von Nahrung und beim Sprechen.
Rolle der Milchzähne beim Sprechen und Kauen: Milchzähne ermöglichen das Kauen von Nahrung und sind essentiell für eine klare Aussprache und ein korrektes Sprachmuster bei Kindern.
Bedeutung für die Entwicklung des bleibenden Gebisses: Die Milchzähne dienen als Platzhalter für die bleibenden Zähne. Sie halten den Raum frei, bis die permanenten Zähne durchbrechen, und beeinflussen somit massgeblich die Ausrichtung des zukünftigen Gebisses.
Ein Kind hat insgesamt 20 Milchzähne, darunter Schneidezähne, Eckzähne und Backenzähne. Im Erwachsenenalter besteht das Gebiss hingegen aus 32 Zähnen. Sogenannte Mahl- und Weisheitszähne entwickeln sich erst im bleibenden Gebiss und kommen später dazu.
Milchzähne erscheinen normalerweise im Alter von 6 Monaten bis 3 Jahren. Bis zum Alter von etwa 3 Jahren sollten alle 20 Milchzähne vollständig durchgebrochen sein.
Milchzähne sind entscheidend für die Mundgesundheit von Kindern. Sie verhindern Fehlstellungen und sorgen dafür, dass die bleibenden Zähne richtig ausgerichtet sind. Die 3 wichtigsten Faktoren für intakte und gesunde Milchzähne sind:
Milchzähne sind Platzhalter für die bleibenden Zähne. Fehlen sie oder werden sie vorzeitig entfernt, kann dies zu Zahnfehlstellungen im späteren Alter führen.
Egal ob als Teenager oder im Erwachsenenalter, bestsmile Aligner sind eine einfache und kieferorthopädisch bewährte Methode zur Zahnkorrektur. bestsmile Teens Aligner ab 11 Jahren – Zahnspange für Kinder und Jugendliche.
Karies an einem Milchzahn kann sich auf die noch nicht durchgebrochenen, bleibenden Zähne übertragen. Karies an den Milchzähnen zu flicken, ist deswegen auch für die Gesundheit der bleibenden Zähne besonders wichtig. Um Karies an Milchzähnen zu vermeiden, gibt es einige präventive Massnahmen.
Fehlstellungen im Milchgebiss können die Ursache für Sprachstörungen sowohl im Kindesalter als auch später als Erwachsene sein. Eine rechtzeitige Behandlung von Milchzahnproblemen kann daher die sprachliche Entwicklung positiv beeinflussen.
Der Zahnwechsel ist ein natürlicher Prozess, bei dem die Milchzähne ausfallen und durch bleibende Zähne ersetzt werden.
Es kann sein, dass während des Zahnwechsels zu den bleibenden Zähnen Probleme auftreten können. Die häufigsten sind Verzögerungen oder ein unregelmässiger Zahnverlust.
Es ist wichtig, auch in der Zeit, in der die Milchzähne ausfallen, regelmässige Besuche in der Praxis einzuplanen, damit mögliche Herausforderungen frühzeitig erkannt und gelöst werden können. Ein reibungsloser Zahnwechsel ist wichtig für die korrekte Ausrichtung der bleibenden Zähne und die langfristige Mundgesundheit auch als Erwachsene.
Alle Zähne im Milchgebiss werden durch diejenigen des bleibenden Gebisses ersetzt. Während des Zahnwechsels fallen meist zuerst die unteren Schneidezähne aus, gefolgt von den oberen Schneidezähnen, Eckzähnen und zum Schluss den Backenzähnen.
In der Regel findet der Ausfall der Milchzähne zwischen dem 6. und 13. Lebensjahr statt.
Bei einigen Kindern sind abgebrochene Milchzähne vorhanden. Die Ursachen dafür können ganz verschieden sein;
Eine zahnärztliche Behandlung ist dann oft notwendig, um abgebrochene Milchzähne zu reparieren und sicherzustellen, dass nichts auf die bleibenden Zähne übertragen wird. Eine normale Entwicklung des bleibenden Gebisses wird dadurch unterstützt und gewährleistet. Die Behandlungsmethode hängt von der Ausgangslage ab. Bei kleineren Beschädigungen am Zahn reichen Füllungen aus, für grössere Schäden sind auch Kronen im Milchgebiss möglich.
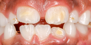
Kreidezähne sind eine Entwicklungsstörung an den Milchzähnen, die circa 15% aller Kinder betrifft. Sie führt dazu, dass die Zähne brüchig und empfindlich sind. Kreidezähne werden in verschiedene Schweregrade eingeteilt.
Die genauen Ursachen von Kreidezähnen sind noch nicht vollständig verstanden, aber genetische Faktoren und Umwelteinflüsse können eine Rolle spielen. Gründe können sein:
Die Behandlung von Kreidezähnen kann eine spezielle Zahnpflege und in einigen Fällen zahnärztliche Eingriffe umfassen. Regelmässige Vorsorgeuntersuchungen sind wichtig, um Kreidezähne frühzeitig zu erkennen und zu behandeln.
Bei bestsmile können Jugendliche bereits ab 11 Jahren eine Behandlung mit Teens Aligner machen. Beim 3D-Scan-Termin werdet ihr von spezialisierten Kieferorthopädinnen und Kieferorthopäden persönlich beraten.
:quality(75))
:quality(75))
:quality(75))
:quality(75))
:quality(75))
:quality(75)/f/80634/403x413/816869959e/footer-403x413.png)