Ferme tes espaces interdentaires avec les gouttières dentaires Aligner et les facettes dentaires Veneers de bestsmile.
Prendre rendez-vousFerme tes espaces interdentaires avec les gouttières dentaires Aligner et les facettes dentaires Veneers de bestsmile.
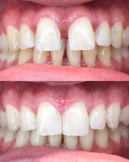
Prendre rendez-vousEn médecine dentaire, les diastèmes et les trémas désignent un espace interdentaire entre les deux incisives médianes (diastème) ou entre deux autres dents (tréma) et sont souvent situés dans la mâchoire supérieure (p. ex. dents du bonheur). Souvent ces espaces exagérés sont malvenus et dérangent.
La raison de l'apparition d'un diastème est souvent la présence d'un frein labial qui empêche une fermeture complète de l'espace entre les incisives.
Dans ce cas, il est souvent recommandé de faire pratiquer une freinectomie, c’est-à-dire que le frein de la lèvre est coupé par voie chirurgicale ou au laser. Il s'agit d'une intervention de routine qui ne dure que quelques minutes, n'est pas douloureuse et guérit très rapidement. Si l'écart entre les dents est dû à une disproportion entre la largeur des dents et celle de la mâchoire ou à l'absence de dents, il n'est généralement pas nécessaire de retirer le frein labial.
Un espace entre les deux incisives centrales (généralement dans la mâchoire supérieure) est relativement fréquent chez les enfants et les adolescents et est également appelé diastème médian.
Nombreux sont ceux qui considèrent qu'un espace vide entre les deux incisives médianes (diastème ou dents du bonheur) est inesthétique. Cependant, en cas de gros écart entre les dents dû à des dents manquantes, par exemple, diverses conséquences sur la santé peuvent survenir.
Dans de nombreux cas, un diastème peut être corrigé par un appareil dentaire amovible. Voilà comment ça fonctionne:
Des clients satisfaits
:quality(75))
Les espaces entre les dents dans la zone des dents de devant peuvent également être corrigés à l'aide de facettes dentaires ultrafines en céramique. Voilà comment ça fonctionne:
:quality(75))
Peut-on combler et corriger un espace entre les dents sans appareil dentaire?
Chez les adultes, il est souvent possible de combler les espaces entre les dents sans appareil dentaire, en posant un bridge ou des facettes. Chez les enfants qui passent des dents de lait aux dents définitives, les espaces se referment souvent d'eux-mêmes lorsque les dents définitives ont complètement percé.
La caisse d'assurance maladie prend-elle en charge la correction d'un diastème ou d’un tréma?
La prise en charge par l'assurance maladie dépend de l'importance de la malposition. Le mieux est de contacter directement ta caisse d'assurance maladie pour plus d'informations.
Combien de temps faut-il pour combler un espace interdentaire?
La durée de la thérapie dépend toujours de l'état initial et de la méthode de traitement choisie. Avec les gouttières dentaires, le traitement dure entre 3 et 12 mois. Avec les facettes dentaires, il dure environ un mois.
Quelles sont les méthodes de traitement qui permettent de fermer un espace interdentaire?
Le composite est un matériau d'obturation de la couleur des dents et permet de modeler un élargissement de façon artificielle. La vraie dent est ainsi reconstituée avec la résine dentaire afin de combler les espaces vides.
Un appareil dentaire classique avec des brackets permet également de combler les espaces sans avoir recours à des prothèses dentaires telles que des couronnes, des bridges ou des implants dentaires. Le traitement dure plusieurs mois.
Les gouttières dentaires bestsmile Aligner permettent de fermer complètement des espaces entre les dents en peu de temps, selon leur taille, en toute discrétion, puisqu’elles sont transparentes. Notre équipe de dentistes sur place te dira si et dans quelle mesure il est possible de fermer ton espace interdentaire indésirable grâce à ces appareils dentaires transparents.
Les bestsmile Veneers - facettes dentaires ultrafines - permettent de combler à long terme les petits espaces entre les dents. Cette méthode est particulièrement adaptée en cas de d’espace interdentaire dans la zone des dents de devant. Si les espaces sont trop grands ou répartis de manière asymétrique, un court traitement préalable par gouttières dentaires peut être nécessaire. Les facettes sur mesure sont collées sur la dent existante. La taille, la forme et la couleur des dents peut être adaptée individuellement, ce qui permet d'obtenir une image harmonieuse et naturelle des dents.
Combien coûte le comblement d'un diastème ou de plusieurs espaces interdentaires?
L'appareil dentaire transparent est disponible dès 3490 CHF ou en paiements échelonnés dès 70 CHF par mois.
Tu peux également opter pour des facettes dentaires ultrafines bestsmile Veneers, payable par mensualités dès 80 CHF. Le prix varie en fonction du nombre de facettes nécessaires pour combler les espaces et obtenir un aspect harmonieux et naturel. Lors de ton premier rendez-vous sans engagement, nos dentistes spécialisés te diront quelle est la meilleure méthode de traitement pour toi et combien coûte ton traitement de correction dentaire.
Suivi dentaire
Notre équipe de médecins-dentistes et assistantes dentaires te conseille et t'accompagne tout au long de ton traitement.
swiss made
Tous les produits bestsmile sont fabriqués pour toi dans notre propre unité de production en Suisse.
Plan de traitement individuel
Ton traitement est précisément adapté à tes besoins.
Réserve maintenant une consultation avec Scan 3D offert
Prendre rendez-vous:quality(75)/f/80634/4096x3640/1d64166570/20210624_best_smile_day_2_neu1516_final.png)
Vor der Behandlung
CHF150.00
Wir benötigen vor Beginn deiner Behandlung ein Panoramaröntgenbild. Wenn du noch keines hast, erstellen wir gerne eines für dich.
CHF400.00
Je nach Zahnkorrektur kann es sein, dass du Attachments brauchst: Kleine Kunststoff-Elemente, die die Zahnbewegung mit Aligner unterstützen.
Nach der Behandlung
Gratuit
Die Retainer Schiene fixiert deine Zahnstellung nach deiner Behandlung und wird über Nacht getragen.
empfohlen
CHF500.00
Der Draht Retainer fixiert deine Zahnstellung nach deiner Behandlung langfristig – und du erhältst damit 10 Jahre Garantie.
CHF500.00
Die Knirschschiene schützt deine Zähne und entlastet deine Kiefermuskulatur im Schlaf.
Das finale Upgrade
Gratuit
Bei einer Behandlung beider Kiefer erhältst du ein Home Bleaching Kit kostenlos dazu.
CHF200.00
Zur Verschönerung des Zahnfleisches und Korrektur des Lippenbandes. Der letzte Feinschliff für dein neues Lächeln.
CHF3000.00
Zur Korrektur von fehlenden Zähnen. Für ein rundum harmonisches Zahnbild.
dès CHF300.00
Beseitige auch kleinste verbleibende Makel nach deiner Behandlung mit dem bestsmile Finishing.
Fermer
et tu en profites! Tu bénéficies d'un rabais spécial de 500 CHF sur ton traitement par aligneurs ou facettes dentaires.
Pour le faire valoir, choisis ton 1er RDV de scan 3D qui est offert, en cliquant sur le lien ci-dessous.
Plus d'informations: CGV
:quality(75)/f/80634/1566x1980/48ddd2a7bd/lara-522x660.png)
:quality(75))
:quality(75)/f/80634/2916x1944/6d7d2e878b/natalia-972x648.png)